Smile Gallery

At Cumming Dental Smiles in Cumming, GA, we’re proud to highlight some of the smile transformations we’ve helped create. From restoring missing teeth to enhancing natural beauty with cosmetic treatments, each story reflects our commitment to personalized care. Every result is shaped by our patients’ goals and our team’s expertise. Explore our gallery below and imagine what’s possible for your own smile.

Dentures & Teeth Replacement

Complete Denture Restoration

John came to us with a broken upper denture that made chewing and smiling difficult. We crafted a new custom denture using a trusted local lab in Gwinnett County, GA. It fit comfortably and matched his desired darker shade, helping him chew properly and smile with confidence.

Full Smile Replacement

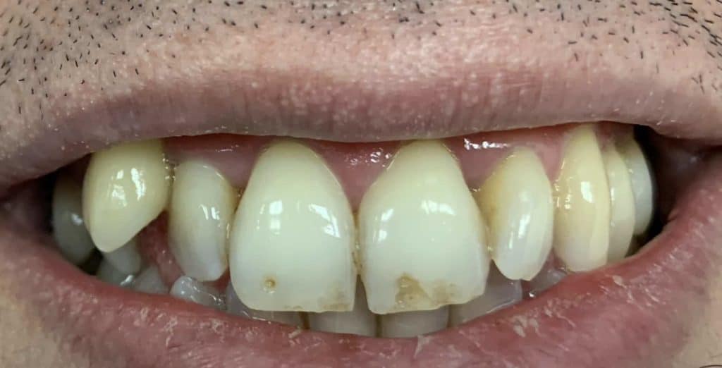
A young patient came in after losing most of his teeth due to decay. He wanted to smile confidently and enjoy food again. Whether caused by cavities, gum disease, or trauma, we help patients restore their smiles and ability to eat with comfort and ease.

Fillings & Bonding

White Fillings For Sensitive Teeth

JC had sensitivity on the upper left side of his mouth. We diagnosed two non-carious lesions and restored them with composite white fillings. The entire procedure was done comfortably without anesthesia.

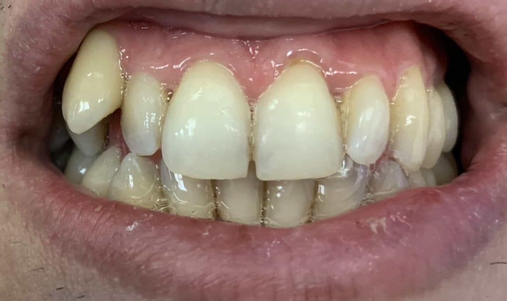
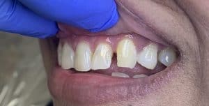
Front Tooth Filling Before Vacation

Julie broke her front tooth just before a big trip. We got her in the same day and repaired the tooth using aesthetic filling material with minimal anesthetic in about 30 minutes. The cost was under $200, and she was able to leave on time with a beautiful smile. A confident smile doesn’t have to take long or cost a fortune.

Root Canal Treatment

Root Canal & Cosmetic Filling

A patient came in with significant discomfort in the lower right side of her mouth. Dental x-rays confirmed she needed a root canal, which we completed the same day to help her save the tooth. We placed a cosmetic filling to restore function and recommended a crown, as we do for all back teeth after root canal treatment. She was grateful for the same-day care and scheduled her crown for a future visit.

Cosmetic Enhancements

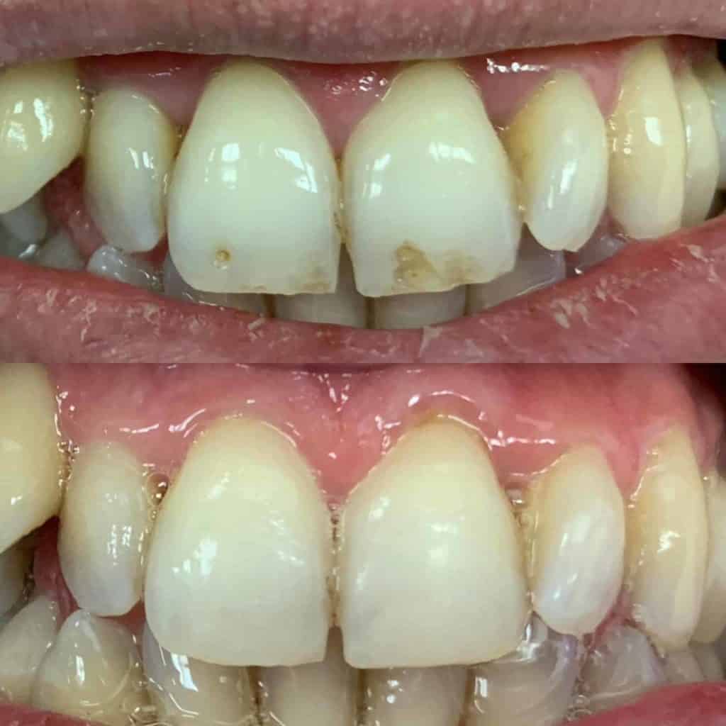
No Anesthesia Smile Touch-Up

This patient had stained and chipped upper front teeth that were affecting her confidence. We removed the surface stains and placed a cosmetic white filling without using anesthesia, since the treatment was superficial. She loved the results and how quick and comfortable the process was.

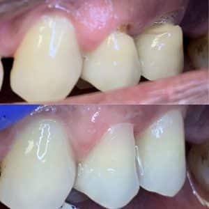
Cosmetic Bonding For Spacing

This patient was concerned about the spacing between her upper front teeth. We discussed her options, including braces and bonding, and she chose cosmetic bonding because it was faster and more affordable. The result gave her the smooth, symmetrical smile she was hoping for.

Start Your Own Smile Story

Your smile deserves the same level of attention and care as the ones you’ve seen here. Whether you’re interested in restorative work, cosmetic improvements, or a complete transformation, the trusted providers at Cumming Dental Smiles in Cumming, GA are here to help. Contact us today to schedule your consultation and take the first step toward a confident new smile.

Scroll to Top

Book Appointment